-
+12 +1Can Unconscious Decisions Be Free?
Suppose neuroscientists could predict your intentional actions before you can. Would that mean that you lack free will? I used to think that it would. Now I'm not so sure.
-
+22 +1Mind’s quality control center found in long-ignored brain area
The cerebellum can’t get no respect. Located inconveniently on the underside of the brain and initially thought to be limited to controlling movement, the cerebellum has long been treated like an afterthought by researchers studying higher brain functions. But researchers at Washington University School of Medicine in St. Louis say overlooking the cerebellum is a mistake. Their findings, published Oct. 25 in Neuron, suggest that the cerebellum has a hand in every aspect of higher brain functions — not just movement, but attention, thinking, planning and decision-making.
-
+2 +1Air pollution linked to “huge” reduction in intelligence
Air pollution can have a “huge” negative effect on cognitive intelligence – especially amongst older men – according to a study released this past August. The research is one of the first of its kind to focus on the links between air pollution and cognition in older people. It was undertaken by scientists at Peking University in Beijing, China and Yale University in the U.S. and was published in the Proceedings of the National Academy of Sciences journal. In particular...
-
+14 +1European Scientists Have Made an Intriguing Discovery in Alzheimer's Drug Research
Scientists in the UK and Sweden believe they’ve come across an unprecedented advance in Alzheimer’s disease research: A method of developing new drugs that can target the roots of the fatal disease in a way that previous attempts couldn’t. But while the latest published work is genuinely intriguing, outside experts are worried that the researchers’ claims to the public are too grandiose.
-
+21 +1Schizophrenia breakthrough: Scientists identify new suspect at 'scene of crime'
As a type of immune cell, it has always been considered one of the good guys. But in a stunning breakthrough in schizophrenia research, scientists say the "macrophage" immune cell can go rogue, causing havoc in the brain. "Macrophage" means "big eaters" in Greek and is a fitting name for the cell because - when behaving - it digests cellular debris and foreign substances.
-
+14 +1Brain Volume May Be Tied to Emotionally Protective Traits
A new study finds that people with larger volumes in the prefrontal cortical brain regions may be more likely to have greater personality traits that can protect against emotional distress, such as optimism. For the study, researchers at the Beckman Institute for Advanced Science and Technology at the University of Illinois looked at a sample of 85 healthy college students to see how a number of personality traits can protect a person’s brain against symptoms of emotional distress, particularly depression and anxiety.
-
+17 +1Study: Optimism Can Change Brain Volume, Providing Protection Against Emotional Distress
In an effort to research how certain personality traits protect against emotional distress, such as depression and anxiety, researchers at the Beckman Institute for Advanced Science and Technology at the University of Illinois examined 85 healthy college students. The study, “Neuro-Behavioral Mechanisms of Resilience against Emotional Distress: An Integrative Brain-Personality-Symptom Approach using Structural Equation Modeling,” was published in the August edition of Personality Neuroscience.
-
+16 +1How your brain experiences time
Researchers at the Kavli Institute for Systems Neuroscience in Norway in have discovered a network of brain cells that expresses our sense of time within experiences and memories. "This network provides timestamps for events and keeps track of the order of events within an experience," says Professor Edvard Moser, Nobel laureate and director of the Kavli Institute, which is based at the Norwegian University of Science and Technology (NTNU). This area of the brain where time is experienced is located right next to the area that codes for space.
-
+18 +1Scientists Reveal the Number of Times You're Actually Conscious Each Minute
Two papers released Wednesday in Neuron delve deep into the way we perceive the world, revealing that we don’t actually register much of it. Our attention systems, the authors show, are extremely ill-equipped for modern society. Rather than take in the world in a constant stream of information, consciousness oscillates in and out of focus, meaning that what we think we know about the world has actually just been pieced together from limited information. Their estimates of how often we are actually focused suggest we don’t know much about the world at all.
-
+17 +1Doctors cut out a large chunk of a boy’s brain—now he’s doing just fine
A boy who had large parts of the right side of his brain removed due to a slow-growing tumor made a nearly full recovery in the three years after his surgery, with other areas of his brain compensating for the loss, researchers reveal this week in Cell Reports. Their case study highlights the brain’s tremendous ability to adapt to such losses and will help researchers...
-
+8 +1Virtually Better: How Virtual Reality Is Helping Treat Social Anxiety
We humans are deeply social creatures. We live our lives in the company of others: we work together, eat together, play together, and sleep together. Yet, for some of us, interacting with other people can really be “hell.” The prospect of talking with a stranger, ordering food in a restaurant, or speaking up in a work meeting, can, for some people, be an incredibly daunting and fear-provoking experience. This is very much the case for sufferers of “social anxiety disorder.”
-
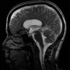
+13 +1Watch the brain jiggle with each heartbeat
With every heartbeat, fluid squishes through the brain and jiggles it like a bowl full of jelly. A new twist on magnetic resonance imaging illuminates these pulsing brain ripples, movements so subtle that they had escaped detection by current imaging technology. Abnormal brain motion could signal trouble, such as aneurysms or damage from a concussion.
-
+11 +1What Is Consciousness?
Scientists are beginning to unravel a mystery that has long vexed philosophers. By Christof Koch.
-
+12 +1Scientists 'transplant memories' between sea snails via injection
Science may never know what wistful memories play on the mind of the California sea hare, a foot-long hermaphrodite marine snail, as it munches on algae in the shallow tide pools of the Pacific coast. But in a new study, researchers claim to have made headway in understanding the simplest kind of memory a mollusc might form, and, with a swift injection, managed to transfer such a memory from one sea snail to another.
-
+9 +1'Memory transplant' achieved in snails
Memories are transferred from one snail to another in a laboratory. By Shivani Dave.
-
+1 +1Research reveals stronger people have healthier brains
A study of nearly half a million people has revealed that muscular strength, measured by handgrip, is an indication of how healthy our brains are. Dr Joseph Firth, an Honorary Research Fellow at The University of Manchester and Research Fellow at NICM Health Research Institute at Western Sydney University, crunched the numbers using UK Biobank data.
-
+1 +1Miniature human brains grow for months when implanted in mice skulls
The mice behaved just like others of their kind, as far as scientists could tell, and they also looked the same — except for the human mini brain that had been implanted into each rodent’s own cortex, made visible by a little clear cover replacing part of their skull.
-
+13 +1Theoretically, Recording Dreams Is Possible...Scientists Are Trying
Dreams can feel awfully real when you’re deep in sleep. Perhaps you find a hidden doorway in your home that leads to entirely new rooms and passageways. Maybe you went to work in your underwear—yikes. When you wake up, you check your closet for that mysterious doorway; maybe you jolt awake in a cold sweat, instantly relieved you still have plenty of time to properly clothe yourself before leaving the house. Regardless, whatever you were experiencing felt very real just moments ago.
-
+12 +1Scientists have established a link between brain damage and religious fundamentalism
A study published in the journal Neuropsychologia has shown that religious fundamentalism is, in part, the result of a functional impairment in a brain region known as the prefrontal cortex. By Bobby Azarian.
-
+14 +1Pain begins differently for men and women at the cellular level, research says
New research from The University of Texas at Dallas supports the growing consensus that pain begins differently for men and women at the cellular level. Dr. Ted Price, Dr. Salim Megat and their colleagues in the Pain Neurobiology Research Group recently found that a specific manipulation of receptors in the nervous system for the neurotransmitter dopamine impairs chronic pain in male mice, but has no effect on females. Price, an associate professor of neuroscience in the School of Behavioral and Brain Sciences...
Submit a link
Start a discussion




















