Post Overview
-
Analysis
10 years ago
+17 17 0Many Antidepressant Studies Found Tainted by Pharma Company Influence
A review of studies that assess clinical antidepressants shows hidden conflicts of interest and financial ties to corporate drugmakers
-
Analysis
10 years ago
-1 1 2Will You Ever Be Able to Upload Your Brain?
Your mind, in all its complexity, dies with you. And that’s it.
-
Current Event
10 years ago
+23 23 067% of Europeans and 93% of Chinese don't believe women have the skills to be scientists
A new survey from L’Oreal looks at the public’s perception of female scientists with shocking results. Particularly if you live in China
-
Analysis
10 years ago
+2 2 0Have scientists really created a fully formed 'made in the lab' brain? | Genetic Literacy Project
“Scientists grow almost fully formed human brain in a lab for the first time,” ran the headline in The Independent a couple of weeks ago. Other news outlets followed along similar lines, breathlessly reporting what seemed to be a groundbreaking disc ...
-
Analysis
10 years ago
+2 2 0Vacuum decay: the ultimate catastrophe
Of all the ways the Universe might die, vacuum decay is the most efficient.
-
Analysis
10 years ago
+13 13 0Straws in the LHC wind: Lepton universality & an update on
As new data continue to be collected at CERN, another look at some of the straws in the wind, otherwise known as “hints of new physics”, that might develop into exciting breakthroughs
-
Analysis
10 years ago
+18 18 0Dos and don’ts to preserve your brainpower
From changing your diet to partying like you’re 21, here are six tips for protecting your brain from the ravages of time.
-
Analysis
10 years ago
+23 23 0You Just Lived Through the Hottest Month in Recorded History. Again.
July 2015 was the hottest month Earth has seen since record-keeping began, according to three of the world's biggest temperature-checkers.
-
Video/Audio
10 years ago
+2 2 0Saint Catherine, Egypt- Timelapse
-
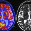
Analysis
10 years ago
+20 20 0Brain imaging research is often wrong. This researcher wants to change that.
A new center at Stanford is aimed at tackling bad neuroscience.
-
Video/Audio
10 years ago
+1 1 0Puppies! Now that I’ve got your attention, complexity theory
Animal behavior isn't complicated, but it is complex. Nicolas Perony studies how individual animals -- be they Scottish Terriers, bats or meerkats -- follow simple rules that, collectively, create larger patterns of behavior. And how this comple ...
-
Analysis
10 years ago
+1 1 0Two Versions of Mao’s China: History Retouched as Propaganda · Global Voices
A collage of historical photos showing two versions of Chinese history during the Mao's era (1949-1976) .
-
Current Event
10 years ago
+14 14 0Gravitational constant appears universally constant, pulsar study suggests
Gravity, one of the four fundamental forces of nature, appears reassuringly constant across the universe, according to a decades-long study of a distant pulsar.
-
Analysis
10 years ago
+16 16 0Scientists Discover that Horses Are More Expressive Than Chimps — NOVA Next | PBS
A new study suggests that horses are capable of 17 distinct facial expressions—more than have been identified in chimps, dogs, and cats.
-
Video/Audio
10 years ago
+18 18 0Hidden miracles of the natural world
We live in a world of unseeable beauty, so subtle and delicate that it is imperceptible to the human eye. To bring this invisible world to light, filmmaker Louie Schwartzberg bends the boundaries of time and space with high-speed cameras, time lapses ...
-
Analysis
10 years ago
+1 2 1The Singular Mind of Terry Tao
A prodigy grows up to become one of the greatest mathematicians in the world.
-
Current Event
10 years ago
+14 14 0We Asked Jimmy Wales Why His Social Network Is Better Than Twitter
TPO wants to be a “meaningful” social network.
-
Current Event
10 years ago
+48 48 0 x 1You need to update Windows. Now
Windows has a critical flaw that could let people take over computers with an easy hack.




















